제주해경 "태풍 피해 선제적 예방" 안전관리 총력 대응
[한라일보] 제6호 태풍 '카눈'이 북상함에 따라 제주해경이 경비함정 근접 배치와 구조대 전진 배치 등 안전관리에 총력을 기울이고 있다. 제주지방해양경찰청은 제6호 태풍 '카눈'이 일본을 관통해 제주도를 포함한 우리나라에…
김도영 기자 ㅣ 2023. 08.07. 17:34:09
[현장] 가마솥 폭염과 연일 사투 벌이는 옥외 노동자들
[한라일보] 꺾이지 않는 무더위가 연일 이어지는 가운데 배달 기사와 건설 현장 근로자 등 옥외 노동자들은 폭염으로 인해 더욱 힘든 여름을 보내고 있다. 7일 오전 제주시 이도일동에서 만난 40대 배달 기사 A 씨는 헬멧 사이로 …
김도영 기자 ㅣ 2023. 08.07. 16:26:19
[휴플러스] 뜨거운 여름에 즐기는 제주 8월 축제
주말 원도심서 열리는 공연·마켓 컬러풀 산지 페스티벌국제관악제 여름시즌 개막… 15일 경축음악회·퍼레이드 [한라일보] 연일 이어지는 뜨거운 폭염의 기세가 만만치 않지만 여름의 열기를 축제의 환호로 승화시킬 수 있는 …
김도영 기자 ㅣ 2023. 08.04. 00:00:00
제주 휴가철 렌터카 교통사고 절반은 "20대 운전자"
[한라일보] 여름휴가철 제주에서 발생한 렌터카 교통사고의 절반 이상은 20대 운전자가 낸 것으로 나타났다. 도로교통공단은 3일 최근 5년간 여름휴가철 교통사고 분석결과를 발표하고 운전자들의 안전운전을 당부했다. 도로…
김도영 기자 ㅣ 2023. 08.03. 17:20:52
새내기 소방관 적극 대처로 극단적 선택 막았다
[한라일보] 극단적 선택 의심 신고를 받고 출동한 새내기 소방관이 진솔한 대화로 환자의 생명을 지켜냈다. 제주소방안전본부는 현장에서 투철한 직업정신을 발휘해 소중한 생명을 지켜낸 제주동부소방서 구좌119센터 이은상 …
김도영 기자 ㅣ 2023. 08.03. 10:42:01
가수 장필순 동물보호법 위반 혐의로 애견호텔 대표 고소
[한라일보] 가수 장필순 씨가 애견호텔의 과실로 반려견을 잃었다며 경찰에 해당 업체 대표 등을 고소했다. 31일 제주동부경찰서에 따르면 가수 장필순 씨가 지난 28일 동물보호법 위반 혐의로 제주시의 한 애견호텔 대표 A 씨 …
김도영 기자 ㅣ 2023. 07.31. 16:43:46
비 내리는 날 야간·곡선도로 교통사고 치사율 ↑
[한라일보] 비가 내리는 날은 야간에 교통사고가 다수 발생했으며 곡선도로, 내리막구간 등에서 사고 발생 시 치사율이 높은 것으로 나타났다. 도로교통안전공단은 28일 여름철 발생한 빗길 교통사고 특성을 분석해 발표하고 …
김도영 기자 ㅣ 2023. 07.28. 16:57:51
1366 제주센터 여성폭력 추방 캠페인
고승보 위원장 호우피해 지원 성금도교육청 서술형 평가 연구팀 워크숍 여성긴급전화1366 제주센터(센터장 심화정)는 26일 제주시 이호테우 해수욕장 일대에서 제주도민과 피서객을 대상으로 '여성폭력 추방 연대캠페인'을 …
김도영 기자 ㅣ 2023. 07.28. 00:00:00
"비 온다더니…" 시시각각 변하는 날씨 예보 '불편 가중'
[한라일보] "26일 새벽 비가 내려 일기예보를 확인하니 오전 중 적잖은 양의 비가 예보돼 있었다. 장맛비의 영향으로 쌓인 빨래를 미루고 출근해 일기예보를 확인하니 비 예보는 온 데 간 데 없이 사라져 있었다." 제주시 아라동…
김도영 기자 ㅣ 2023. 07.26. 16:00:10
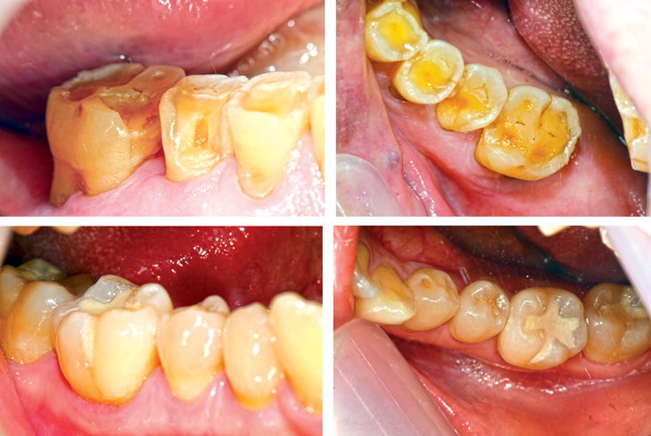
[제주, 제주인의 건강보고서 Ⅷ 건강다이어리] (117)치아의 비 기능이상습관
이 악물기·이갈이 습관서 다수 발생인지 치료 선행 통해 증상 호전 가능입술 다물고 치아 띄우는 연습 필요 [한라일보] '살살 써야 하는 신체 기관'은 어디일까? 부서지면 안 되는 귀중한 것. 그래서 "살살 쓰세요"라는 말은 …
김도영 기자 ㅣ 2023. 07.26. 00:00:00
80대 노인 묻지마 폭행범 구속… 피해자 3명 더 있다
[한라일보] 제주시의 거리에서 별다른 이유 없이 80대 노인을 폭행해 입건된 30대 남성에게 폭행당한 피해자가 3명 더 있는 것으로 확인됐다. 제주동부경찰서는 폭행 및 상해 혐의로 30대 남성 A 씨를 구속했다고 25일 밝혔다. A …
김도영 기자 ㅣ 2023. 07.25. 11:28:24
강경흠 제주도의원 성매매 혐의 검찰 송치
[한라일보] 제주특별자치도의회 강경흠 의원이 성매매 혐의로 검찰 조사를 받는다. 24일 제주경찰청 등에 따르면 강경흠 의원은 성매매 알선 등 행위의 처벌에 관한 법률 위반(성매매) 혐의로 이날 검찰에 송치됐다. 경찰은 외…
김도영 기자 ㅣ 2023. 07.24. 18:30:03
제주 여성 '스토킹 상담' 3.6배 급증… 가정폭력은 4000여 건
[한라일보] 제주지역 여성폭력 상담의 대부분은 가정폭력인 것으로 나타났으며 특히 스토킹 관련 상담이 급증한 것으로 집계됐다. 여성긴급전화 1366 제주센터(이하 1366 제주센터)는 24일 총 5316건의 '2023년 상반기 상담 실적'을 …
김도영 기자 ㅣ 2023. 07.24. 17:31:23
"추락하면 사망" 테트라포드 사고 '대책 없나'
[한라일보] 눈 깜짝할 사이 발생하는 테트라포드 추락 사고로 인해 인명피해가 잇따르는 가운데 제주해경과 소방이 합동 훈련을 진행했다. 제주지방해양경찰청은 지난 20일 서귀포시 성산읍 오조포구에서 테트라포드 추락사고…
김도영 기자 ㅣ 2023. 07.21. 13:44:13
길에서 잠든 취객 주머니 '탈탈'… 50대 남성 체포
[한라일보] 취객의 주머니에서 휴대전화와 현금을 훔친 50대가 경찰에 긴급체포됐다. 제주동부경찰서는 절도 혐의로 50대 남성 A 씨를 붙잡아 조사하고 있다고 21일 밝혔다. A 씨는 지난 12일 오후 11시46분쯤 제주시의 거리에서 …
김도영 기자 ㅣ 2023. 07.21. 12:05:00